+961 3 739 783
+961 70 567 444
Dental Implants Beirut
By Dr. Habib Zarifeh — Oral Surgeon & Founder, Smile Infinity®

Beirut has no shortage of dental clinics. What it has always needed — and what patients travel from across the Gulf and Africa to access — is a surgeon who combines genuine oral surgery expertise with the precision of modern implant technology in a hospital-grade environment.

Dr. Habib Zarifeh is Head of Oral Surgery at CMC Hospital Beirut — Clemenceau Medical Center, Johns Hopkins International affiliated. He holds an MSc in Laser Dentistry from RWTH Aachen University, Germany, and an MS in Oral Surgery. As founder of Smile Infinity® across 12 countries and inventor of the One Day Implant® protocol, he has placed thousands of implants across every level of complexity over more than 20 years.

His One Day Implant® protocol remains unique in Beirut — laser-assisted flapless surgery, no incisions, no sutures, with the implant and crown completed in a single visit for qualifying cases. For patients who cannot spend weeks in Beirut, this changes everything.

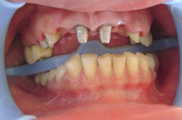
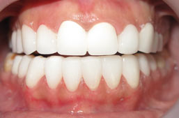
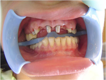
Whether you need a single tooth replaced, a full mouth rebuilt, or bone grafting before an implant can be placed — this is where you start.

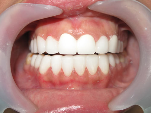
Dental Implant Treatments in Beirut
Why Patients Choose Dr. Zarifeh for Dental Implants in Beirut

Beirut is a city where patients are sophisticated and expectations are high. They have seen other clinics. They know what good care looks like. When they choose Dr. Zarifeh, it is because they want more than a competent procedure — they want surgical excellence in a world-class environment.

CMC Hospital Beirut operates at a Johns Hopkins International standard — hospital-grade infection control, a sterile surgical environment, and a team that treats every implant case with the same rigour applied to any oral surgical procedure. This is not a private dental chair in a commercial building. It is a medical-grade facility.

The technology at our Beirut clinic includes 3D Dentascan imaging for surgical planning, intraoral digital scanning that replaces conventional impressions, Sirona MCXL CAD/CAM for chairside crown milling, and a laser-assisted surgical protocol that reduces post-operative discomfort and accelerates healing. These are not aspirational additions — they are standard at every case.

Patients travel to Beirut from Dubai, Riyadh, Abidjan, Lagos, Paris, and beyond specifically for Dr. Zarifeh's implant expertise.

If you are planning to visit Beirut for treatment, the team coordinates your consultation, treatment timeline, and follow-up to fit your schedule — whether you have two days or two weeks.

Book your Beirut consultation →   |   WhatsApp Dr. Zarifeh's team →
Patient Testimonials
"I flew from Dubai specifically for the One Day Implant® procedure at Dr. Zarifeh's Beirut clinic. The implant and crown were completed the same morning. I was on a flight home that evening with a permanent tooth. Nothing like this exists in Dubai at this level."
— Patient, Dubai
"As a Beirut resident I have seen many dental clinics in this city. The difference at CMC Hospital with Dr. Zarifeh is the surgical standard — every detail is planned, every step is explained, and the result is exactly what was promised. For implants in Beirut, this is the right address."
— Patient, Beirut
"Dr. Zarifeh performed a sinus lift and placed three implants in my upper jaw. The planning was meticulous — he showed me the full 3D scan and walked me through every step before surgery. Four months later the final crowns were fitted. The outcome was perfect."
— Patient, Riyadh