+961 3 739 783
+961 70 567 444
Multiple Teeth Dental Implants — Beirut
Restore your bite. Implant by implant.
Multiple Teeth Dental Implants in Beirut
Multiple teeth dental implants Beirut Lebanon by Dr. Habib Zarifeh

Multiple missing teeth create compounding problems. Each gap accelerates bone loss in that region. Adjacent teeth migrate. The bite shifts. Chewing becomes uneven, and the remaining teeth bear forces they were never designed to handle alone. The longer the gaps remain, the more complex — and more expensive — the eventual reconstruction becomes.

Dental implants restore each missing root as well as the visible crown. They stop bone loss, stabilise the surrounding dentition, and support bridges that function exactly like natural teeth. In Beirut, multi-implant cases are designed and executed by Dr. Habib ZarifehHead of Oral Surgery at CMC Hospital Beirut (Johns Hopkins International affiliated), MSc in Laser Dentistry from RWTH Aachen University, Germany, and founder of Smile Infinity® across 12 countries.

Implants vs. Implant-Supported Bridges in Beirut

Not every missing tooth requires its own implant. When several adjacent teeth are absent, the decision between individual implants per tooth and a shared implant-supported bridge depends on bone availability, the number of gaps, their position, and the patient's overall oral health. Four adjacent missing teeth, for example, can often be restored with three implants supporting a four-unit bridge — or in selected cases, two implants supporting a four-element span.

Every recommendation at our Beirut clinic is driven by what delivers the best long-term result for that specific patient. Dr. Zarifeh and his prosthodontic team evaluate each case individually using 3D Dentascan imaging before any treatment plan is finalised.

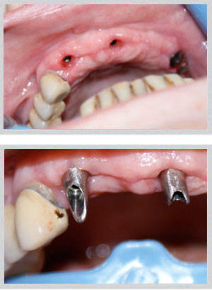
Implant supported bridge multiple teeth Beirut Lebanon

Treatment Protocols for Multiple Teeth in Beirut

1. One Day Implant® — Immediate Full-Arch Restoration

Using Dr. Zarifeh's One Day Implant® protocol, multiple implants, abutments, and a definitive zirconia bridge can be completed in a single surgical session using laser-assisted flapless surgery and Sirona MCXL CAD/CAM chairside milling. Patients leave with a fixed, permanent multi-tooth restoration the same day. This protocol requires ideal bone conditions and is most predictably performed in the lower jaw.

2. Immediate Temporization

Where immediate permanent loading is not indicated, a fixed temporary bridge is delivered on the day of surgery. The patient is never without teeth. The temporary shapes the gum tissue around each implant during healing, producing better soft tissue architecture and a more natural final result. Both upper and lower jaw cases qualify.

3. Conventional Loading

For cases requiring bone grafting or extended healing time, implants are placed with healing screws and the definitive bridge is fitted after full osseointegration — typically several weeks to a few months. This staged approach allows Dr. Zarifeh to verify each implant's integration individually before loading the final restoration.

Missing several teeth in Beirut? Start with a consultation and 3D scan.

Dr. Zarifeh will map your bone, assess your case, and present a clear treatment plan — individual implants, a bridge, or a combination — before any procedure begins.

Book your Beirut consultation →   |   WhatsApp Dr. Zarifeh →
Patient Testimonials
"I was missing four teeth on one side for years. Dr. Zarifeh placed three implants and fitted a fixed bridge within the same week. The difference in how I chew and how I feel is something I can't fully put into words."
— Patient, Beirut
"I flew from Abidjan to Beirut for the procedure. Six missing teeth across both jaws — Dr. Zarifeh treated everything in two sessions. The planning was meticulous and the results are extraordinary."
— Patient, Abidjan
"The immediate temporization meant I never spent a single day without a full smile. When the final ceramic bridges were placed three months later, the gum contour around every implant looked completely natural."
— Patient, Kuwait