+961 3 739 783
+961 70 567 444
Hollywood Smile & Dental Implants — Beirut
When implants meet cosmetic dentistry — total transformation.
Hollywood Smile with Dental Implants in Beirut
Hollywood smile dental implants Beirut Lebanon before after Smile makeover veneers and implants Beirut

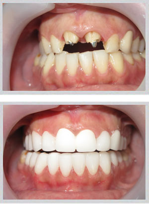
When a patient in Beirut wants a complete smile transformation and has both natural teeth and implants, the treatment demands a unified vision. Veneers on natural teeth and crowns on implants must match in shade, shape, surface texture, and long-term behaviour. Designing this outcome requires a clinician who operates in both surgical and cosmetic disciplines simultaneously.

Dr. Habib Zarifeh is both an oral surgeon and a cosmetic dentist. As former international speaker for Lumineers by Den-Mat for over 10 years, and inventor of ZEvolution Veneers® — his German-engineered no-prep veneer system launched at the AADEC world exhibition in Dubai — he brings a depth of combined experience that defines the quality of Hollywood Smile outcomes in Beirut.

ZEvolution Veneers Hollywood smile Beirut Lebanon Dr Habib Zarifeh

The Combined Protocol in Beirut

  • Natural teeth: Restored with ZEvolution Veneers® — ultra-thin, minimal preparation, designed and milled with CAD/CAM digital workflow for maximum precision and shade accuracy.
  • Implant-supported teeth: Restored with full ceramic or zirconia crowns designed in the same digital system to match the veneers exactly — same shade, same translucency, same surface.

The result is a unified smile where no restoration stands out from the others. Natural teeth and implant crowns are visually indistinguishable.

Digital Smile Design — See Your Result Before Treatment Starts

Every Hollywood Smile case at our Beirut clinic begins with digital smile design. The patient sees the expected result before any tooth is prepared or any implant is placed. This design becomes the template for every restoration in the case — veneers and crowns alike.

Hollywood smile result Beirut Lebanon cosmetic dentistry implants Smile transformation ZEvolution Veneers implant crowns Beirut
Want a complete Hollywood Smile in Beirut — with or without implants?

Dr. Zarifeh designs every smile transformation digitally before any preparation begins. You see the result first. Book a consultation at CMC Hospital Beirut.

Book your Beirut consultation →   |   WhatsApp Dr. Zarifeh →
Patient Testimonials
"I had two implants and eight natural teeth in my smile zone. Dr. Zarifeh designed the entire case digitally and I approved the result before anything was touched. The final veneers and crowns are a perfect match — I cannot tell the difference."
— Patient, Beirut
"The ZEvolution Veneers required no drilling on my natural teeth. The zirconia crowns on my implants match them exactly. Dr. Zarifeh's aesthetic precision at this clinic in Beirut is exceptional."
— Patient, Dubai